VIB Center for Inflammation Research Logo

Epithelial Cell Signalling

Afonina Inna

Afonina Inna

Research Teamleader
Head of

Epithelial surfaces of the skin, gut and lungs serve as a protective physical barrier between the host and the outside world. Additionally, epithelial cells act as important innate immune sensors that can alert immune system to the presence of danger. The overall goal of our research, which is situated on the convergence of fundamental and applied biomedical science, is to better characterize intra- and extracellular signaling at epithelial surfaces in the context of skin, gut or lung inflammation, as well as carcinoma, using a combination of omics technologies, molecular and cellular biology, immunology and mouse genetics.

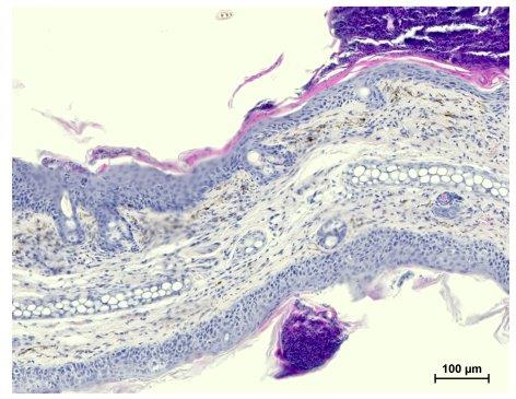
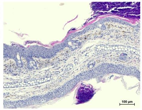
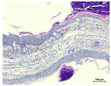
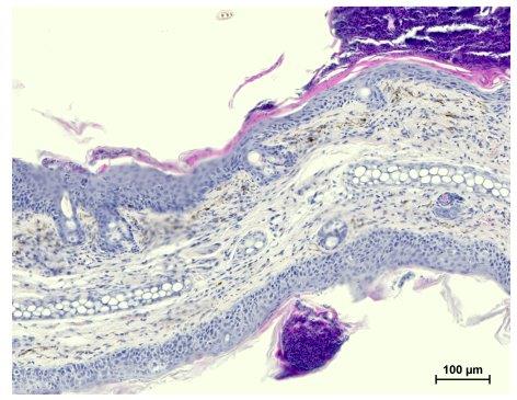
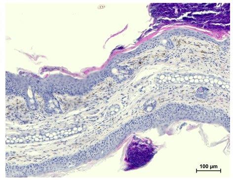
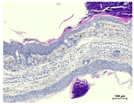
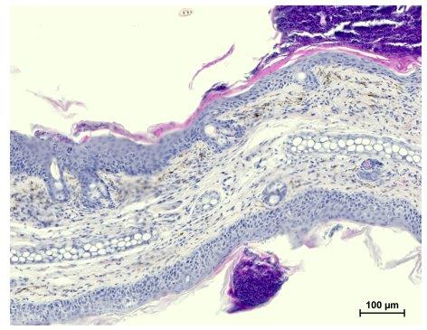
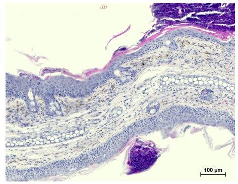
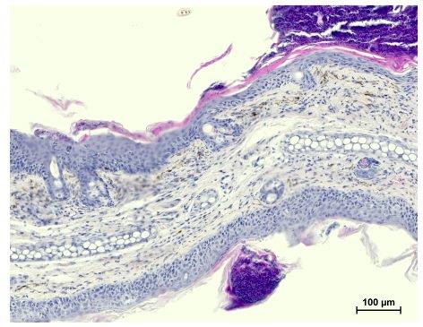
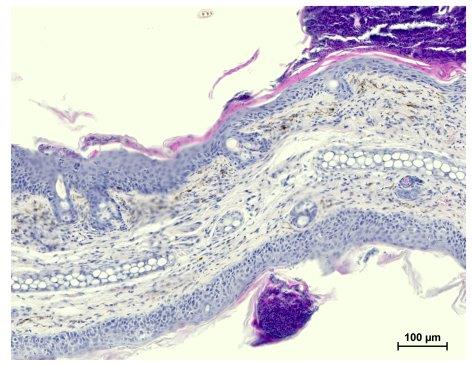
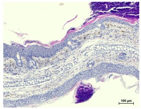
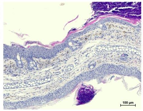
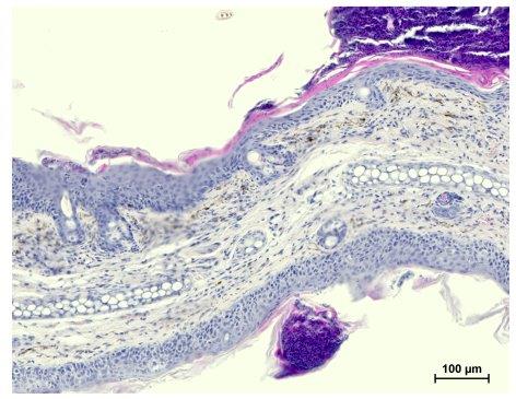
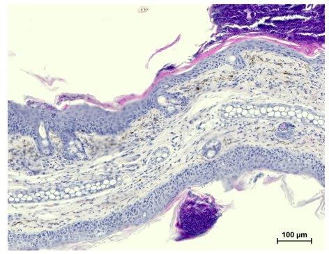
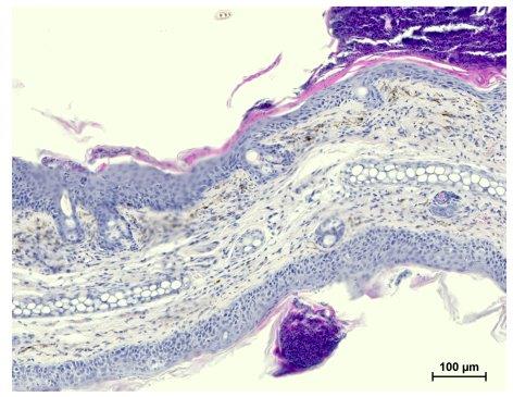
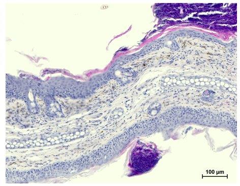
One of our main research interests is currently focused on an intracellular signaling mediator CARD14. Hyperactivating mutations in the CARD14 gene have been linked with psoriasis susceptibility in humans. Our team explores the functional role of CARD14 in epithelial cell proliferation, differentiation and gene expression, as well as molecular mechanisms regulating CARD14 signal transduction and strategies for pharmacological targeting of the CARD14 pathway.

We are also interested in the function and regulation of the epithelial derived cytokine IL-33, an alarmin that can activate the innate and adaptive arms of the immune system. Dysregulated IL-33 activity has been implicated in different diseases, including asthma, multiple sclerosis and cancer. Better understanding the effects and regulation of IL-33 may allow the development of novel therapeutics. In this context, our team explores the therapeutic potential of a newly developed IL-33trap.

Areas of Expertise

  • NF-kB signaling in inflammation and cancer
  • Mouse models of skin and gut inflammation
  • Cytokine signaling
  • Protein-protein interactions, phosphorylation
  • Multiparameter flow cytometry immunophenotyping

Technology Transfer Potential

  • Novel mouse models in skin and gut inflammation
  • Novel therapeutic targets in inflammation and cancer
  • Innovative biologics targeting cytokines (e.g. IL-33trap)

Selected publications

  • Afonina, I. S., Van Nuffel, E. & Beyaert, R. Immune responses and therapeutic options in psoriasis. Cell Mol Life Sci 78, 2709–2727 (2021). Visit ➚
  • Van Nuffel, E. et al. MALT1 targeting suppresses CARD14-induced psoriatic dermatitis in mice. EMBO Rep 21, e49237 (2020). Visit ➚
  • Holgado, A. et al. Single-Chain Soluble Receptor Fusion Proteins as Versatile Cytokine Inhibitors. Front Immunol 11, 1422 (2020). Visit ➚
  • Holgado, A. et al. IL-33trap is a novel IL-33 neutralizing biologic that inhibits allergic airway inflammation. J Allergy Clin Immunol 144, 204-215 (2019). Visit ➚
  • Afonina, I. S. et al. The paracaspase MALT1 mediates CARD14-induced signaling in keratinocytes. EMBO Rep 17, 914-927 (2016) Visit ➚

Bibliography


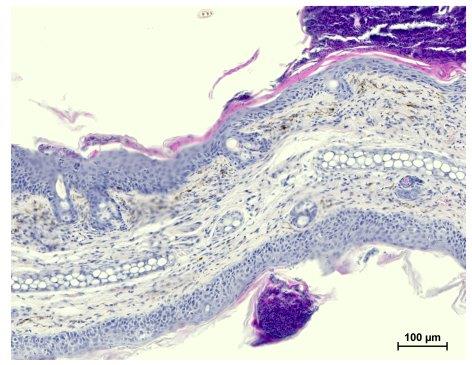
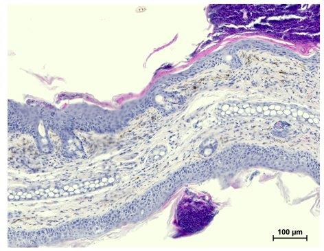
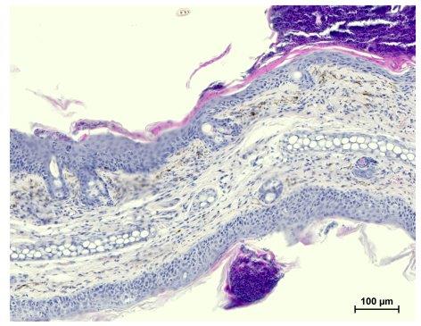
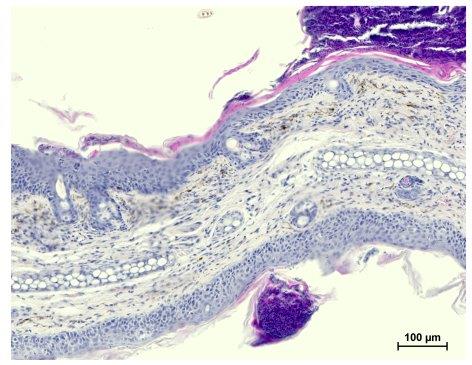
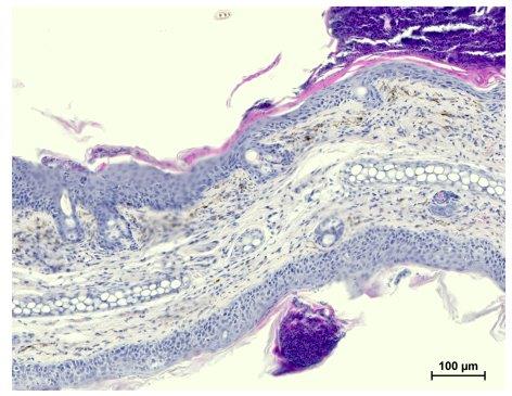
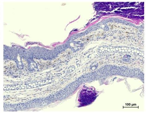
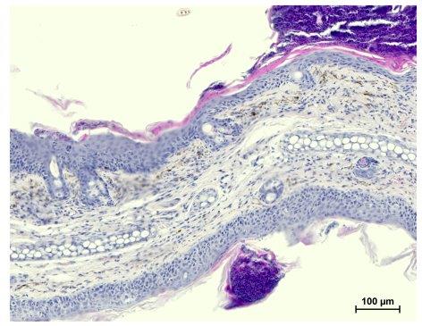
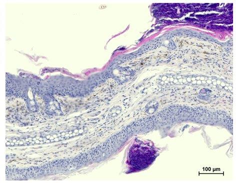
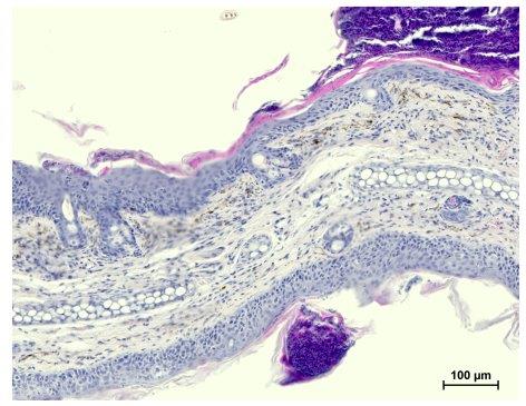
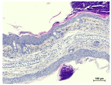
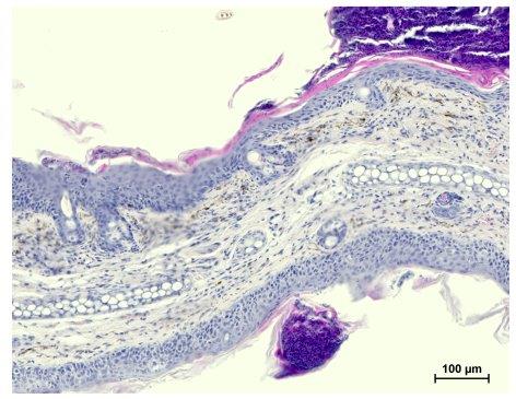
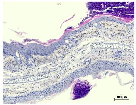
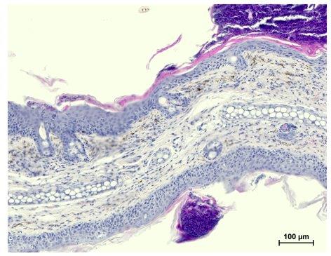
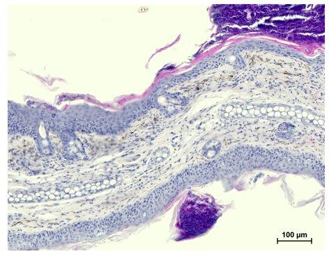
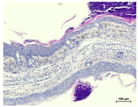
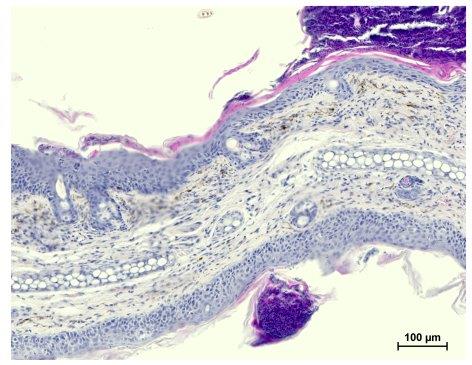
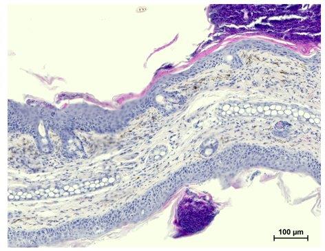
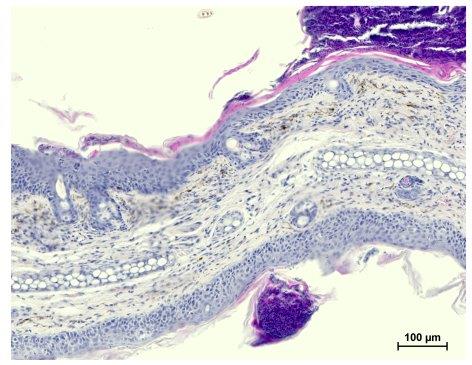
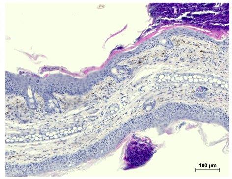
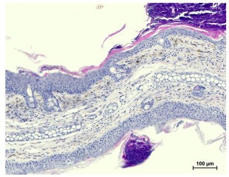
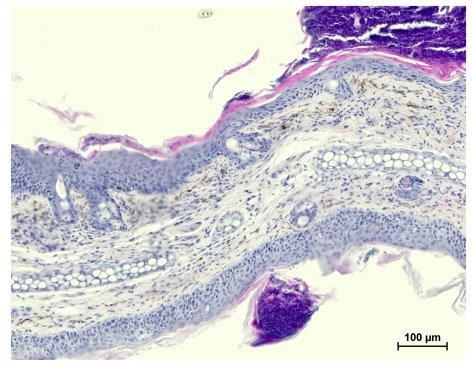
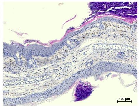
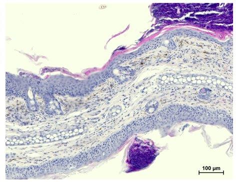
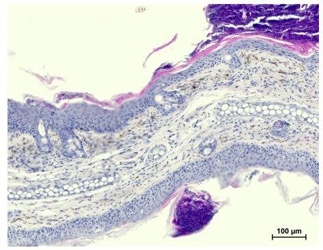
Epithelial Cell Signalling
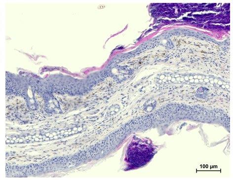
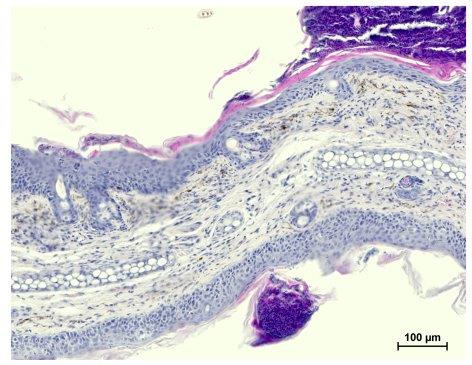
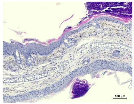
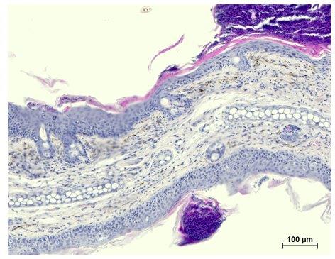
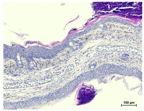
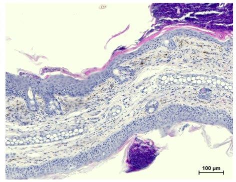
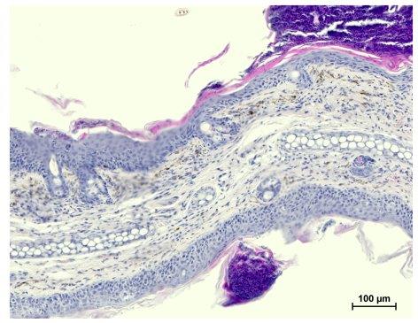
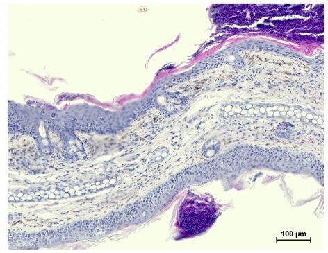
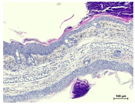
Expression of a pathogenic human CARD14 mutant transgene in keratinocytes is sufficient to drive psoriasis‐like dermatitis in mice (Van Nuffel et al., EMBO Rep. 2020)