VIB Center for Inflammation Research Logo

Laboratory for Endoplasmic Reticulum Stress and Inflammation

Janssens Sophie

Janssens Sophie

Group Leader VIB

The role of the unfolded protein response in immune cell biology

Our research team focuses on the role of the unfolded protein response (UPR) in several immune cell types. The UPR is an adaptive cellular response that is initiated upon accumulation of improperly folded proteins in the ER. Its main function is to restore ER homeostasis and to keep cells alive under conditions of ER stress. Recent work from our group and others has shown that the UPR is an important component in the functioning of the immune system and we started addressing the role of the UPR sensor IRE1 in dendritic cells.

We showed that in type I conventional DCs (cDC1s), one of the two major subsets of cDCs, IRE1 shows a high basal activity level, which is highly tissue dependent and occurs in absence of a canonical ER stress signature. This made us wonder what drives IRE1 activity and why it is linked specifically to one type of cDC1s.

This question led us into the field of DC maturation and what distinguishes homeostatic from immunogenic DC maturation programs. In a recent publication we highlight how cholesterol metabolic pathways are differentially regulated in homeostatic versus immunogenic mature DCs and ensure proper regulation of type I IFN genes.

Other projects in the lab focus on the role of IRE1 in NK cells and macrophages and on the regulation of mucus homeostasis in the intestinal barrier by the goblet cell-specific paralogue of IRE1, IRE1b.

Areas of Expertise

  • Dendritic cell biology
  • Signal transduction
  • UPR signaling pathways

Technology Transfer Potential

  • Identification of novel dendritic cell biomarkers to distinguish immunogenic from tolerogenic mature dendritic cells
  • Identification of novel targets or strategies to improve dendritic cell based vaccination strategies

Selected publications

  • Cloots, E. et al. Activation of goblet-cell stress sensor IRE1beta is controlled by the mucin chaperone AGR2. EMBO J (2023). Visit ➚
  • Vetters, J. et al. Canonical IRE1 function needed to sustain vigorous natural killer cell proliferation during viral infection. iScience, 26, 108570 (2023). Visit ➚
  • Bosteels, V. et al. LXR signaling controls homeostatic dendritic cell maturation. Sci Immunol 8, eadd3955 (2023). Visit ➚
  • Flores-Santibanez, F. et al. Nuanced role for dendritic cell intrinsic IRE1 RNase in the regulation of antitumor adaptive immunity. Front Immunol 14, 1209588 (2023). Visit ➚
  • Maes, B. et al. STE20 kinase TAOK3 regulates type 2 immunity and metabolism in obesity. J Exp Med 220, 20230622 (2023). Visit ➚

Bibliography


Laboratory for Endoplasmic Reticulum Stress and Inflammation
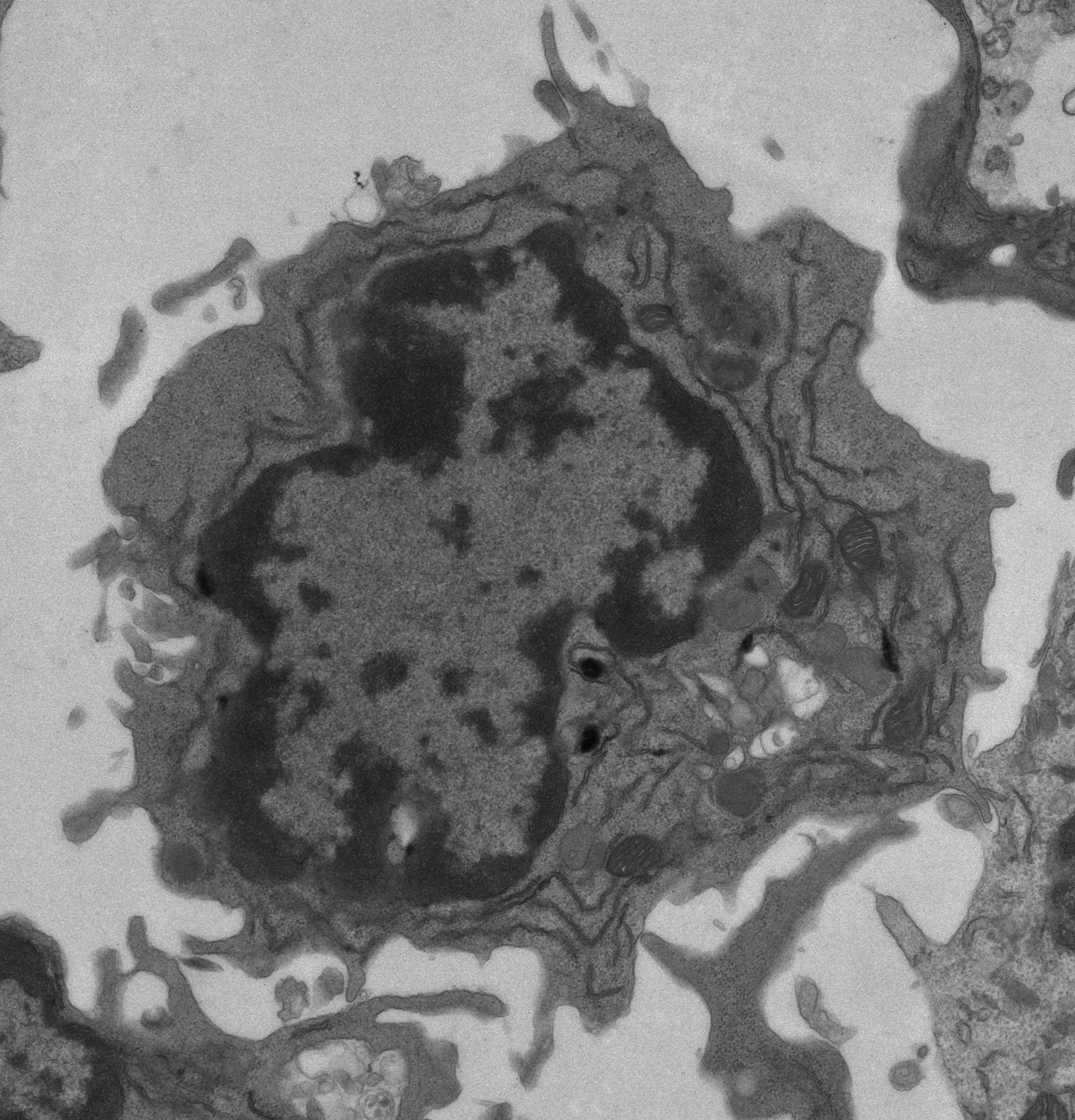
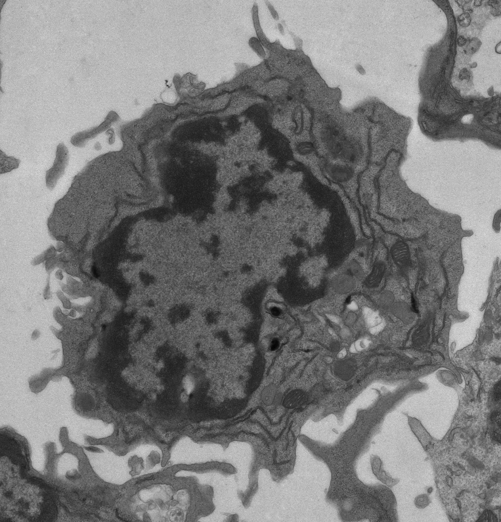
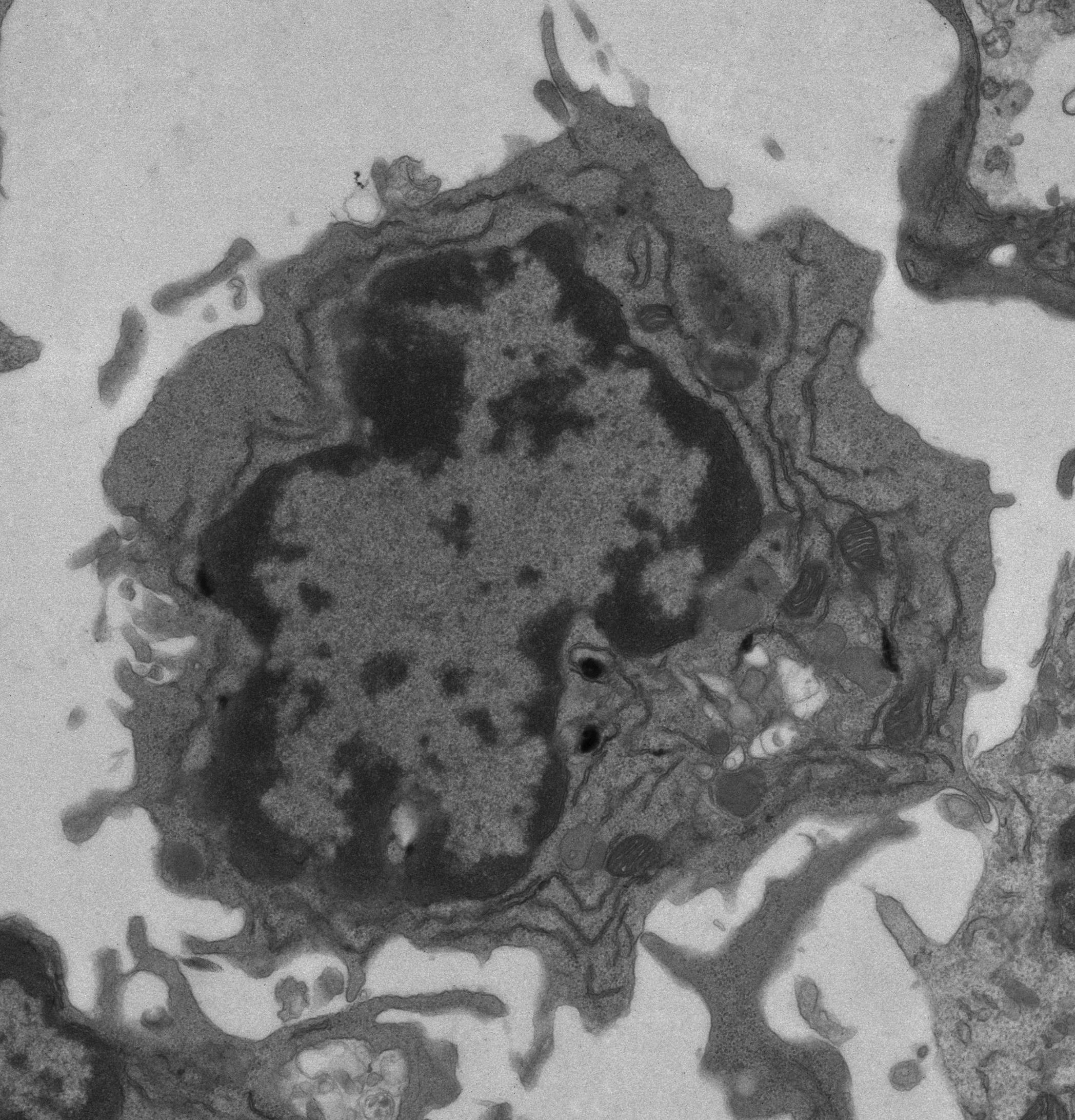
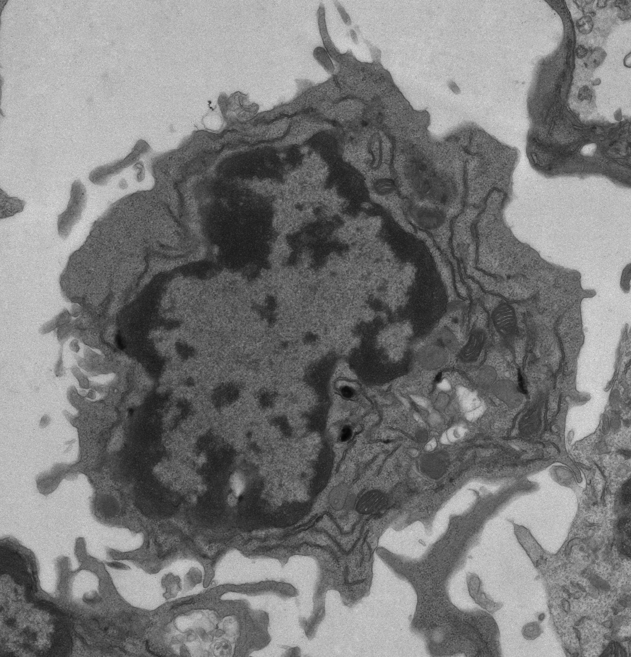
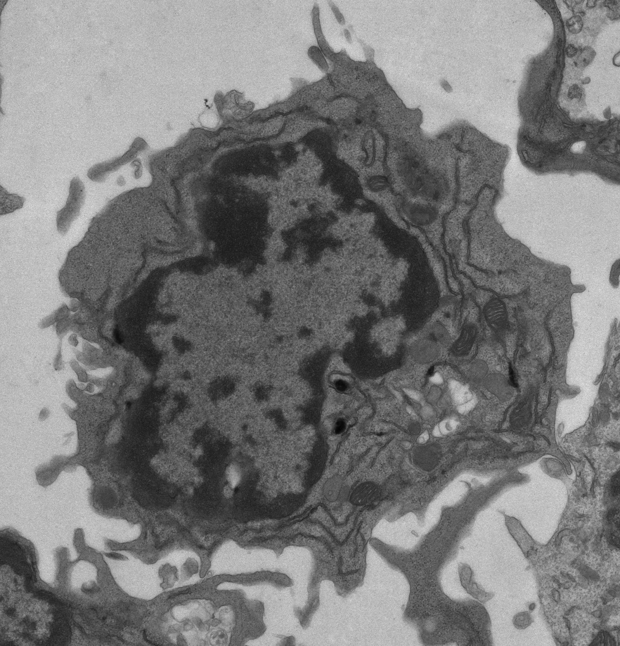
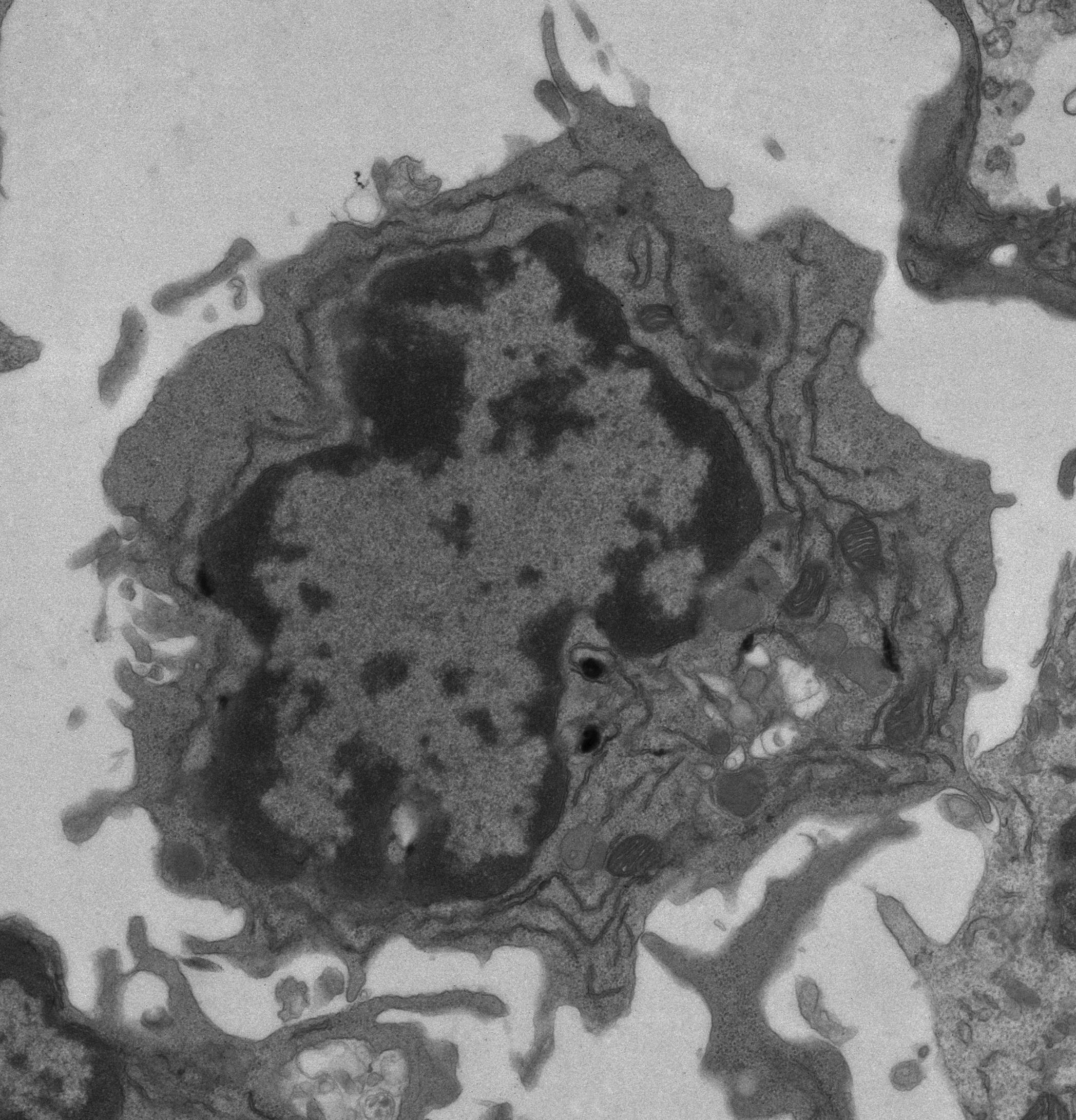
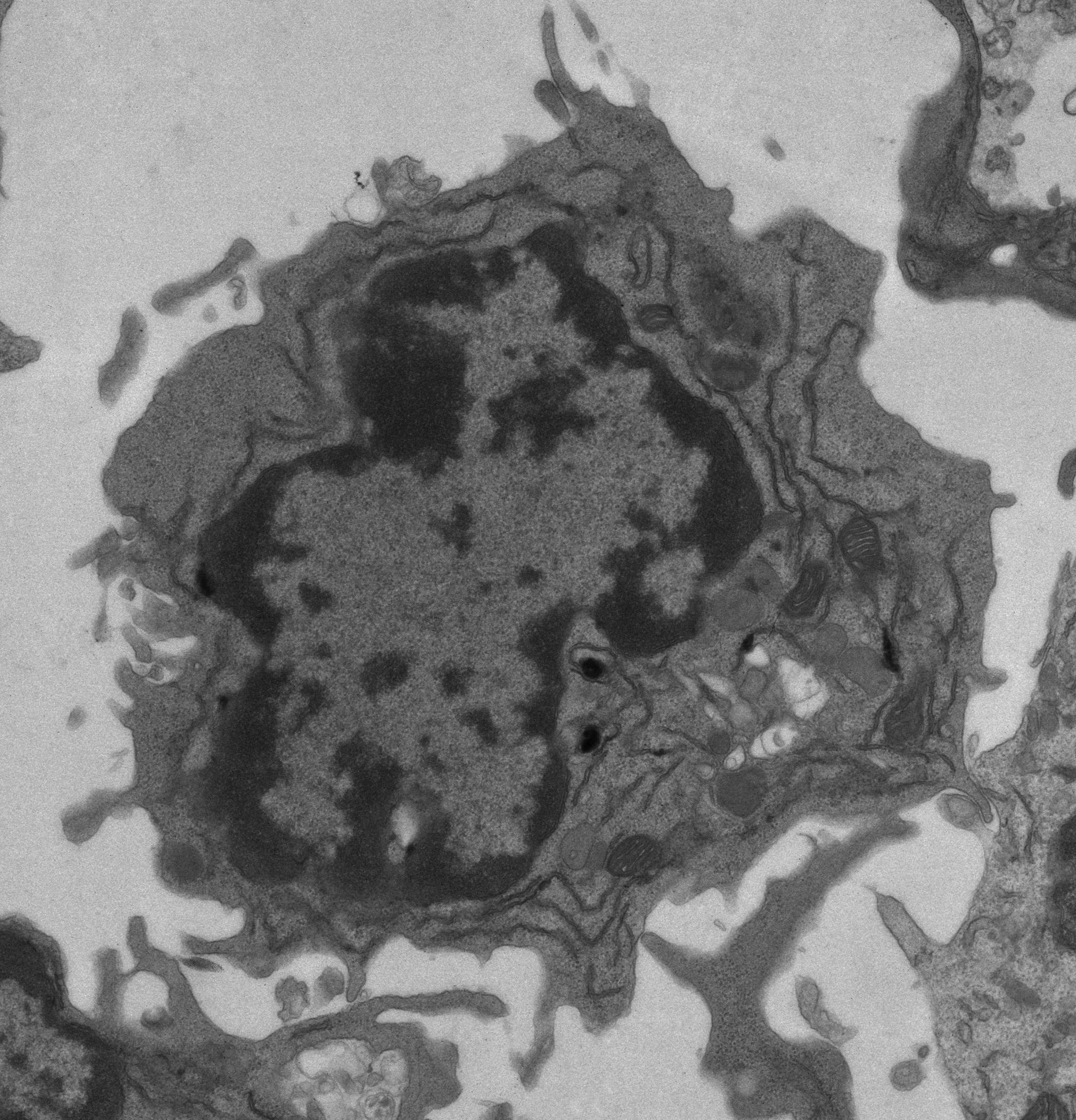
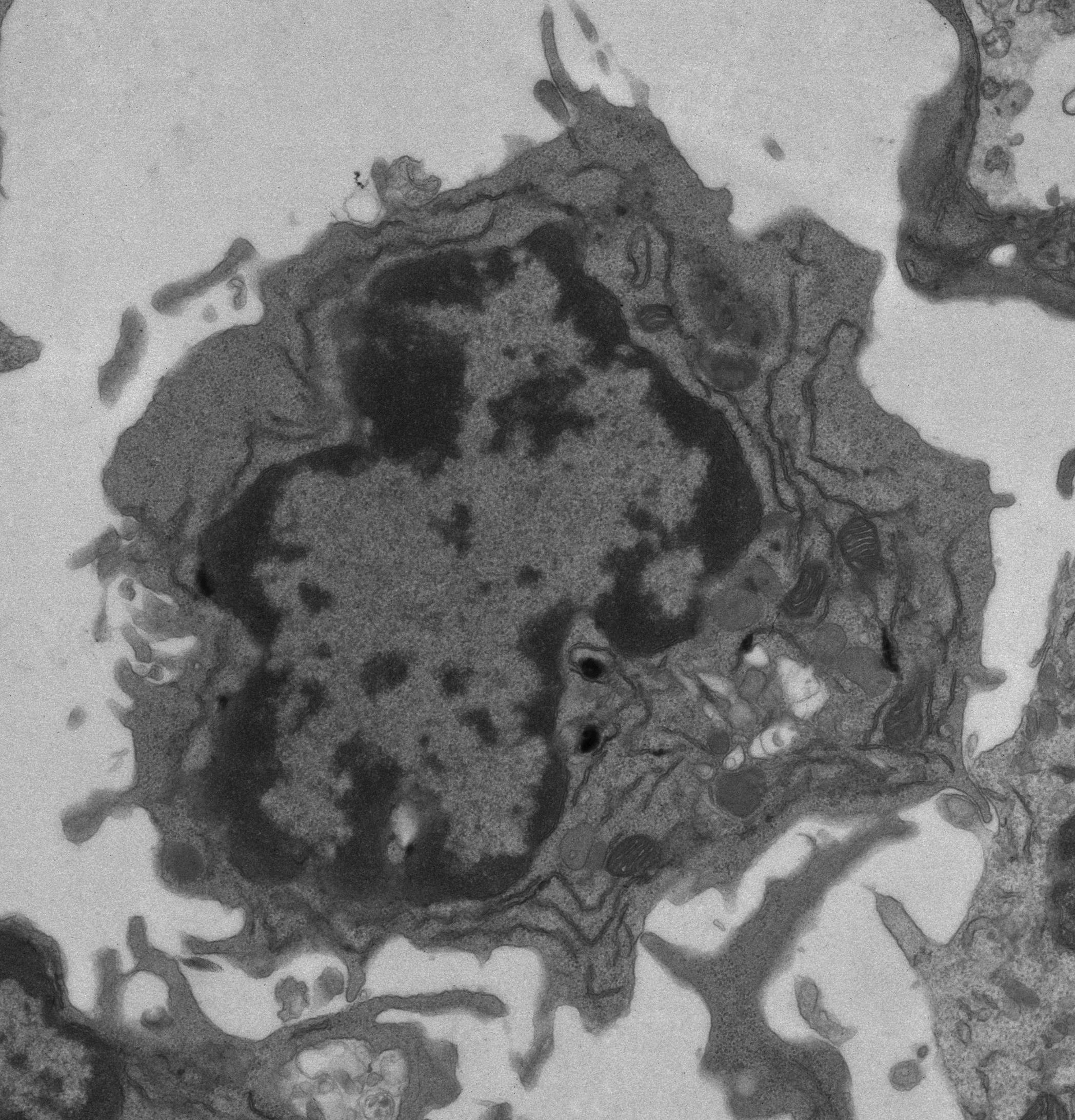
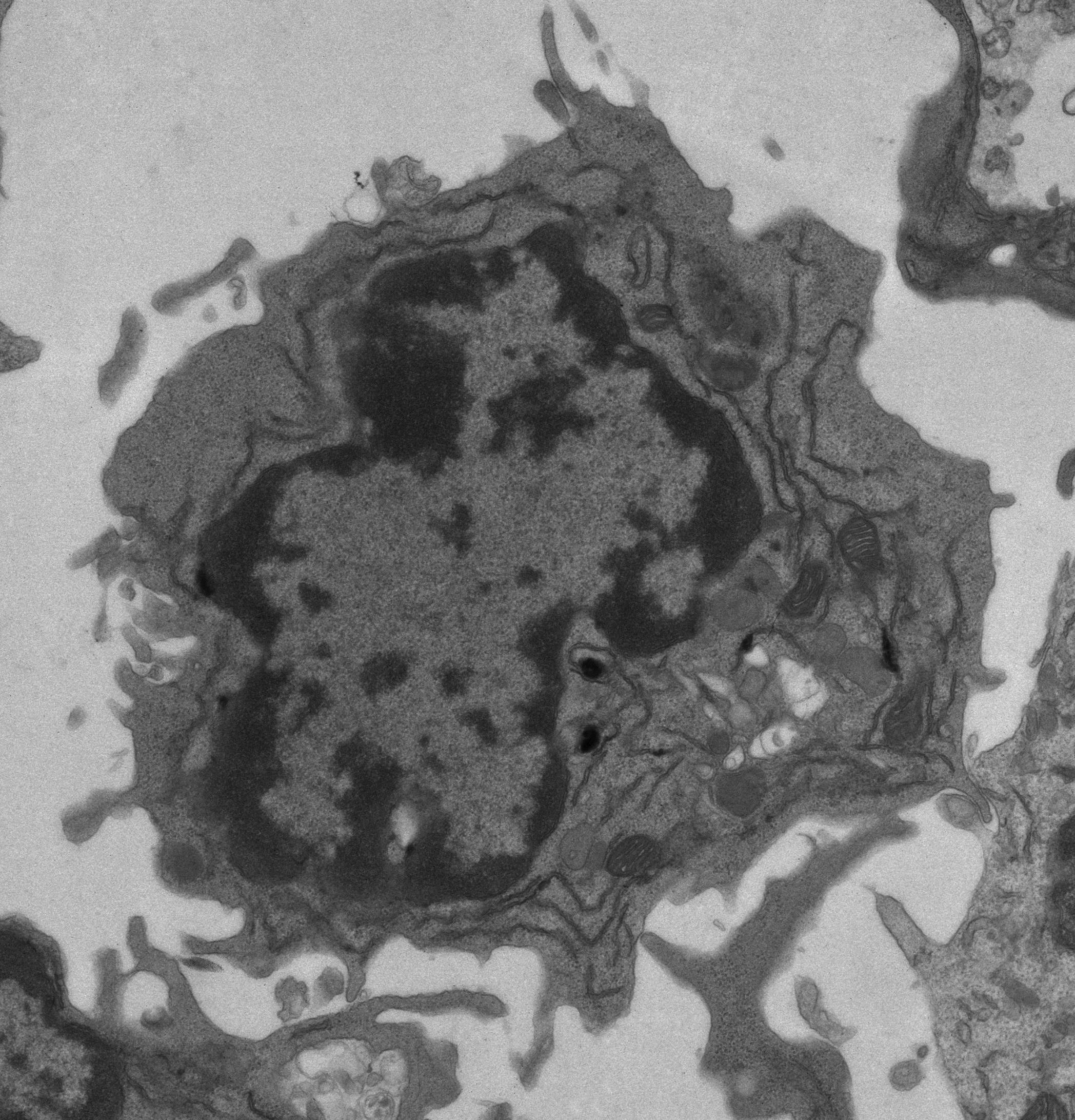
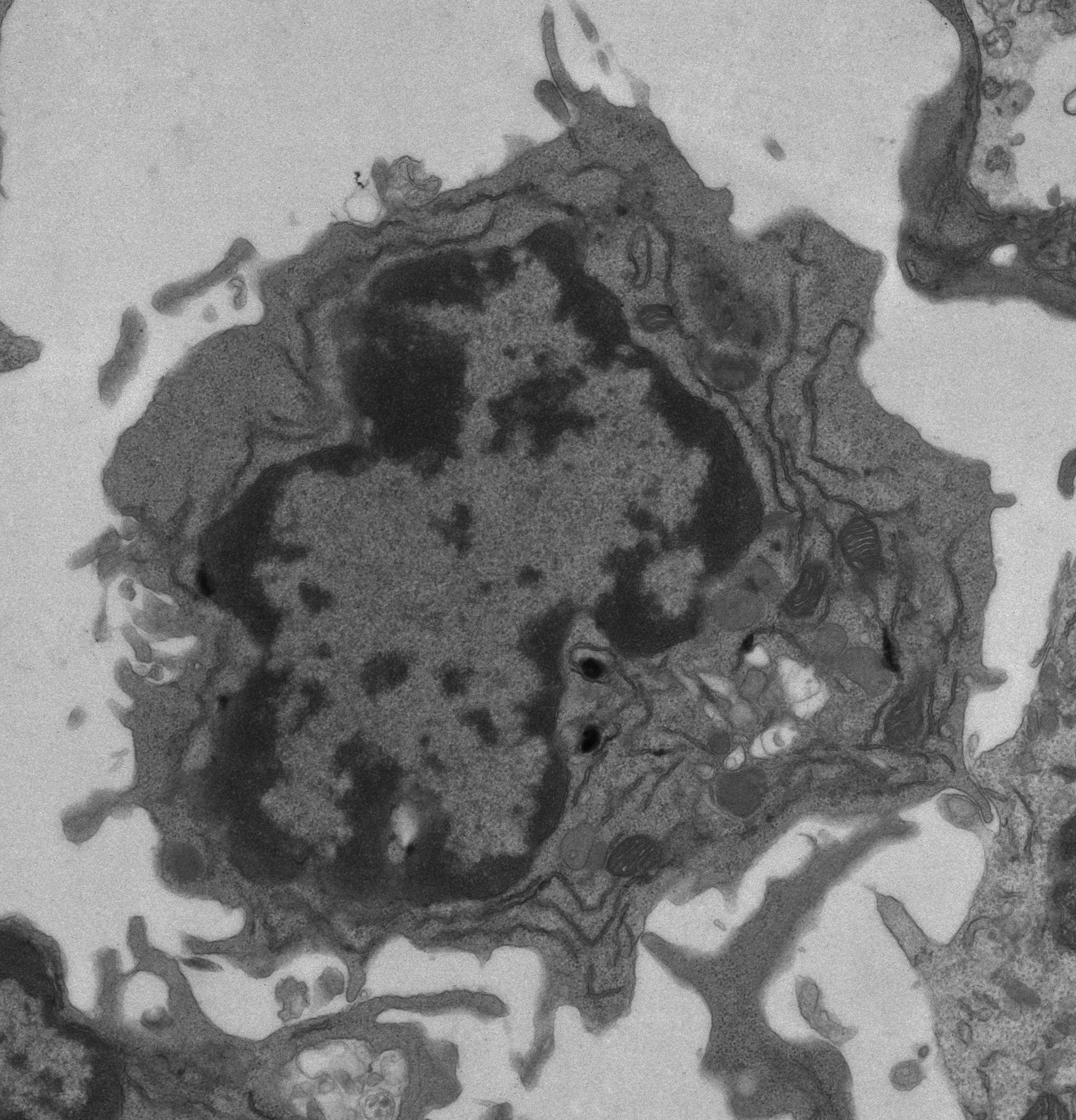
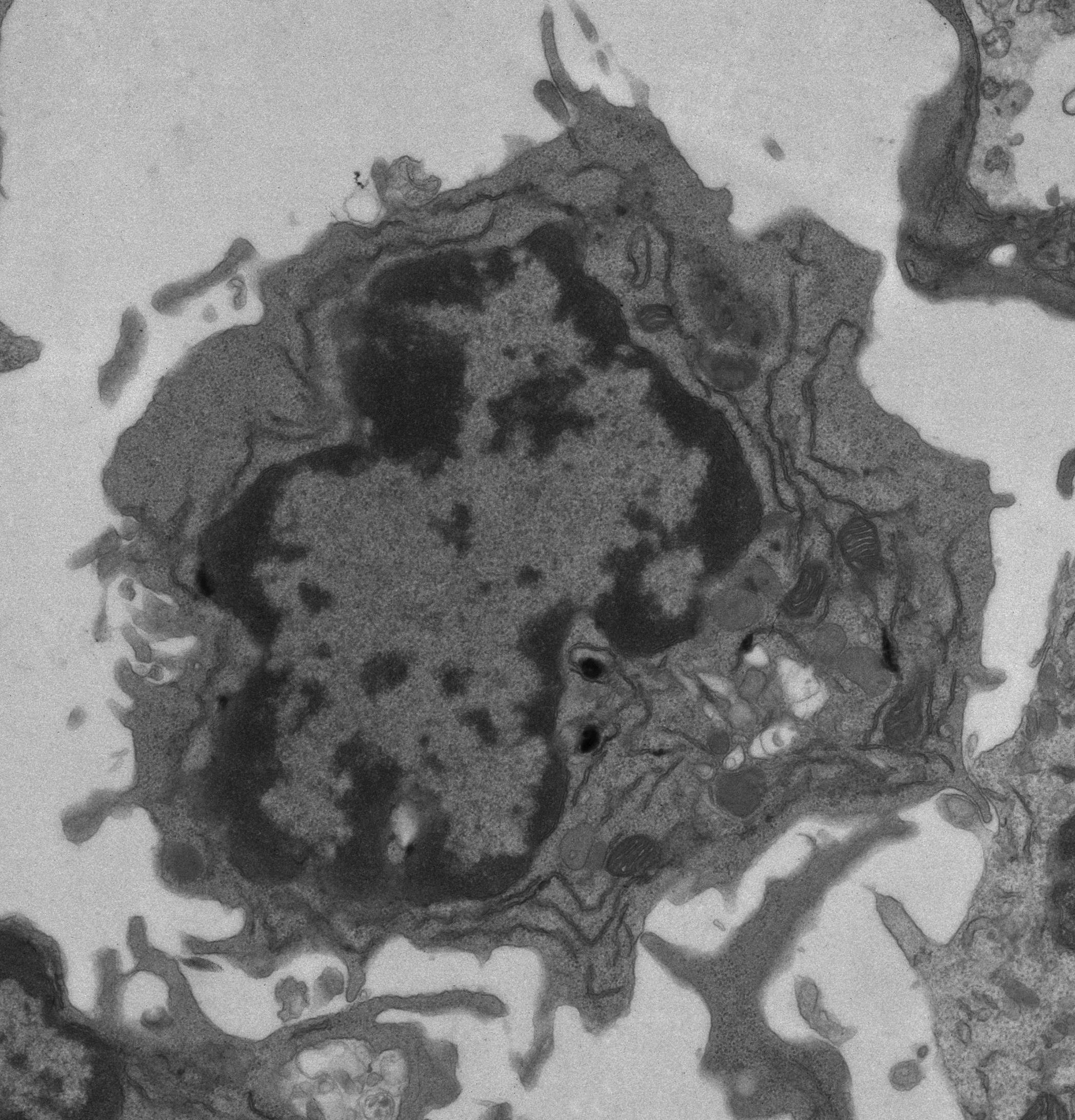
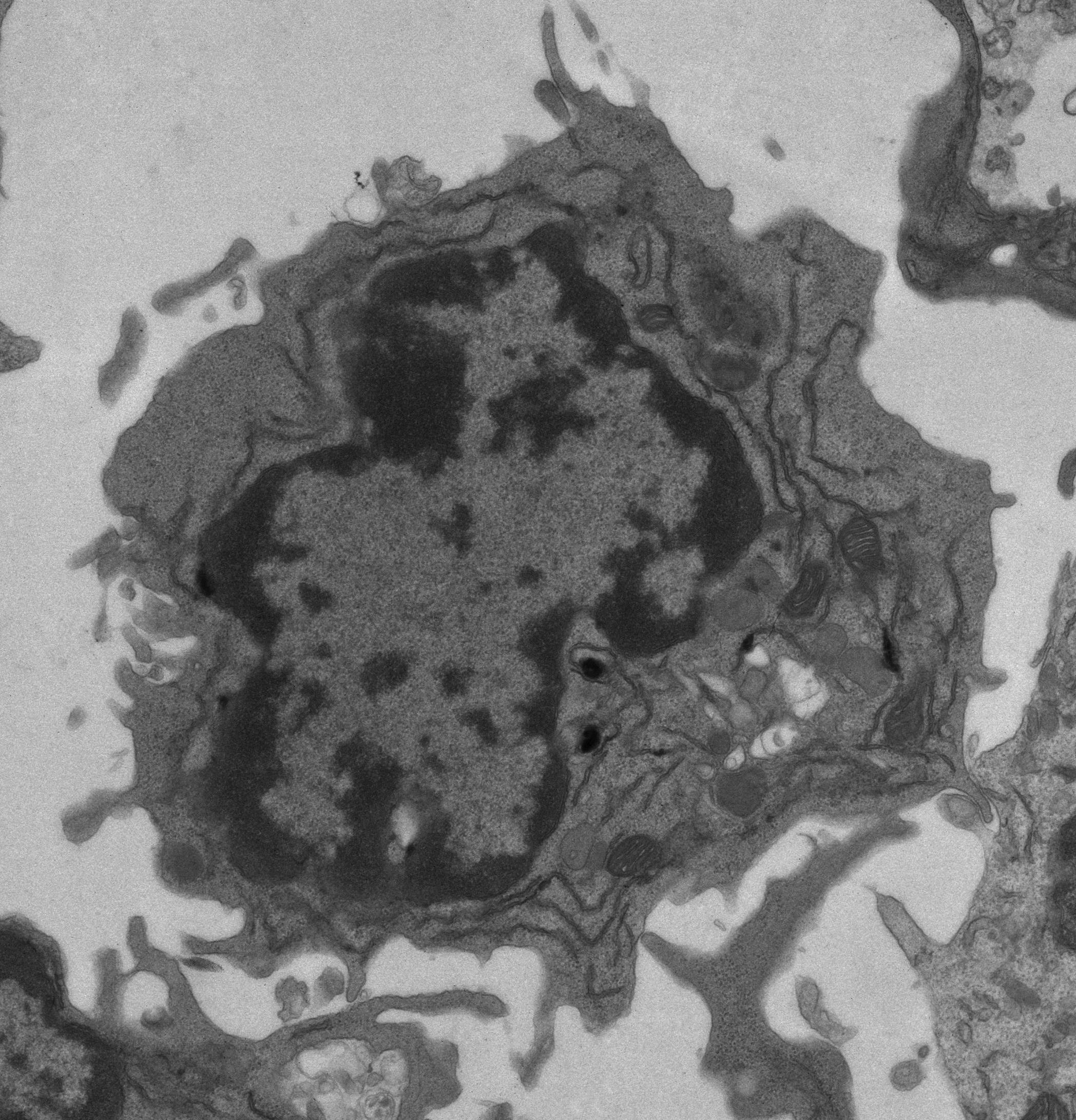
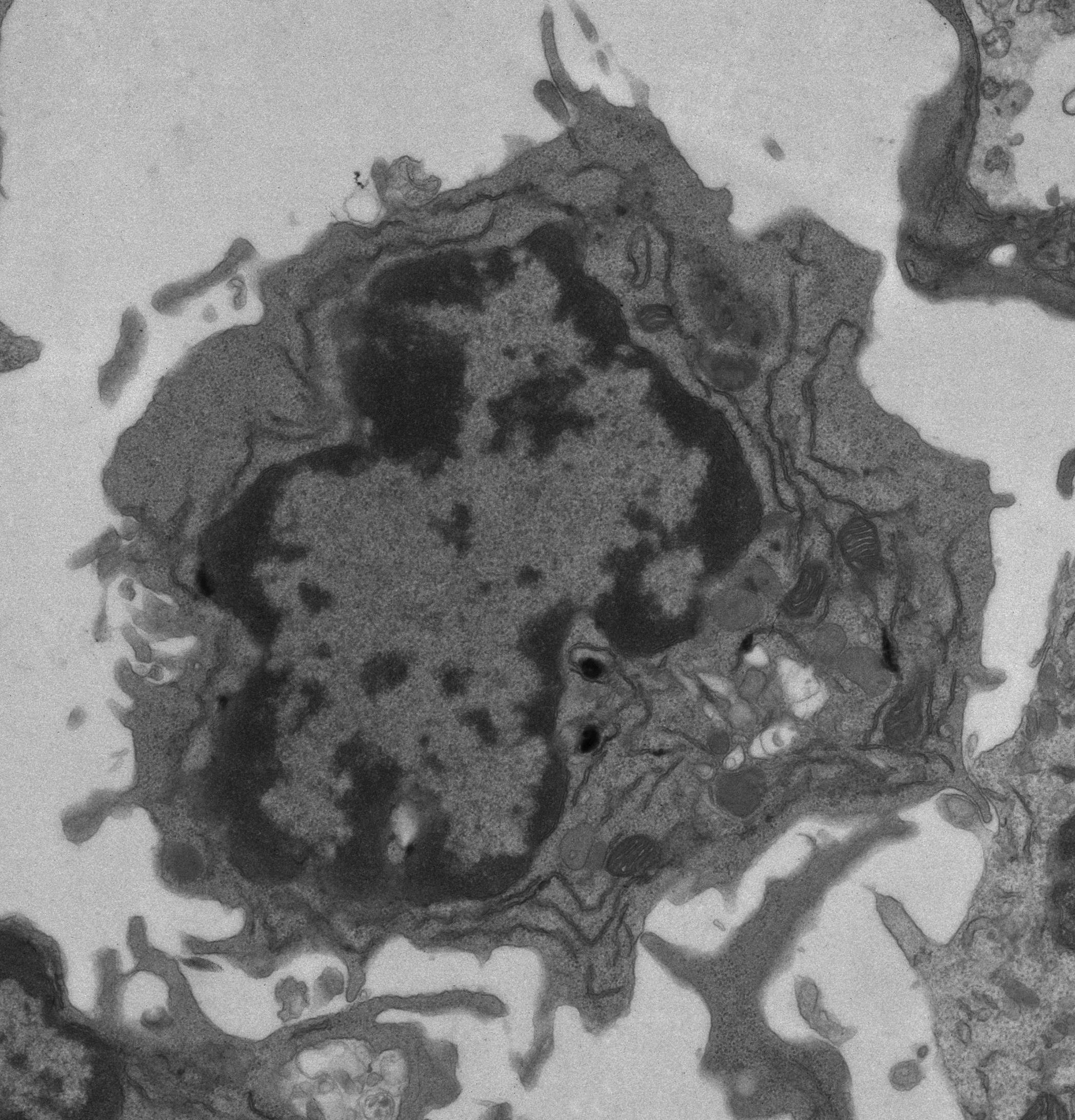
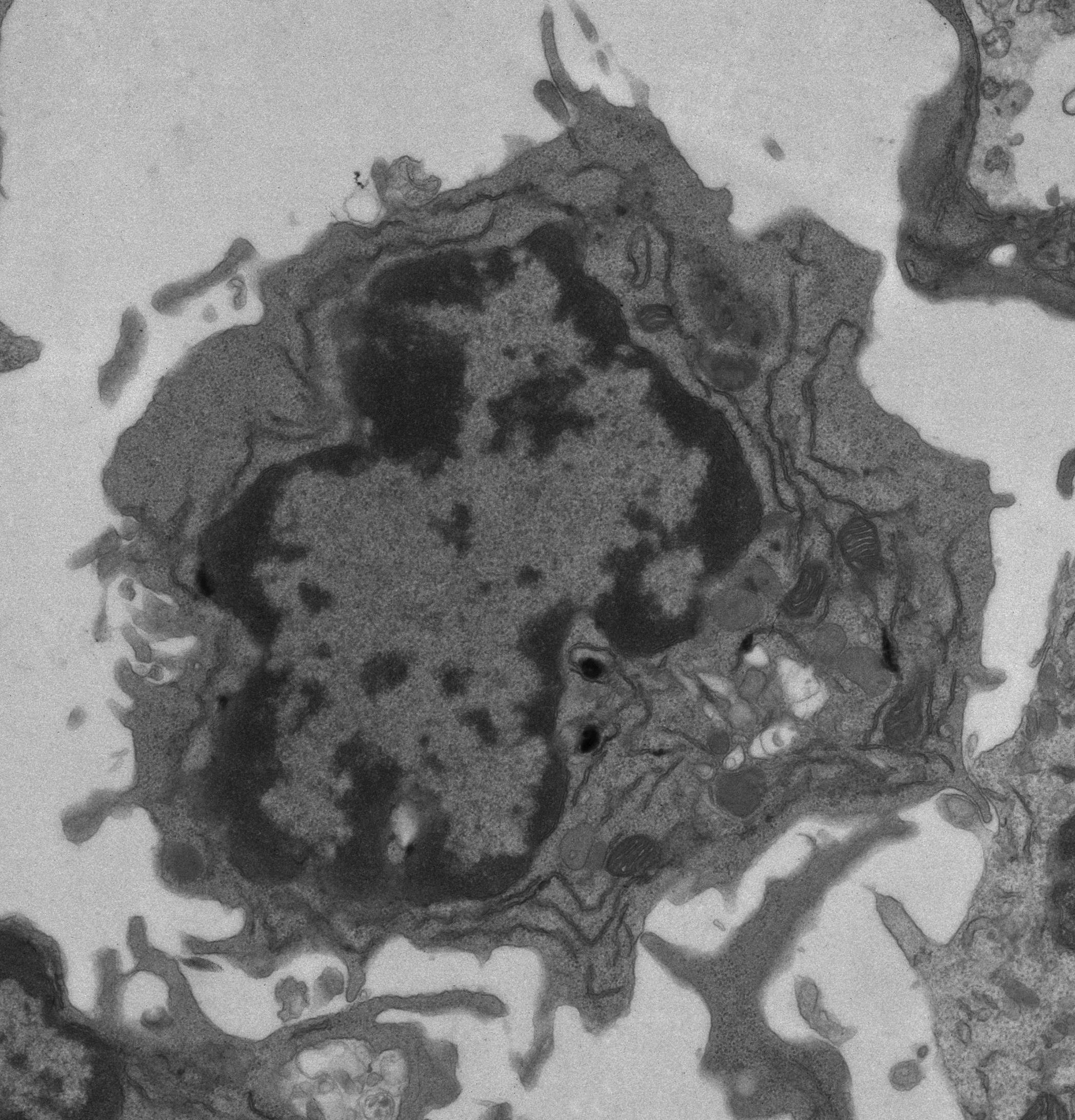
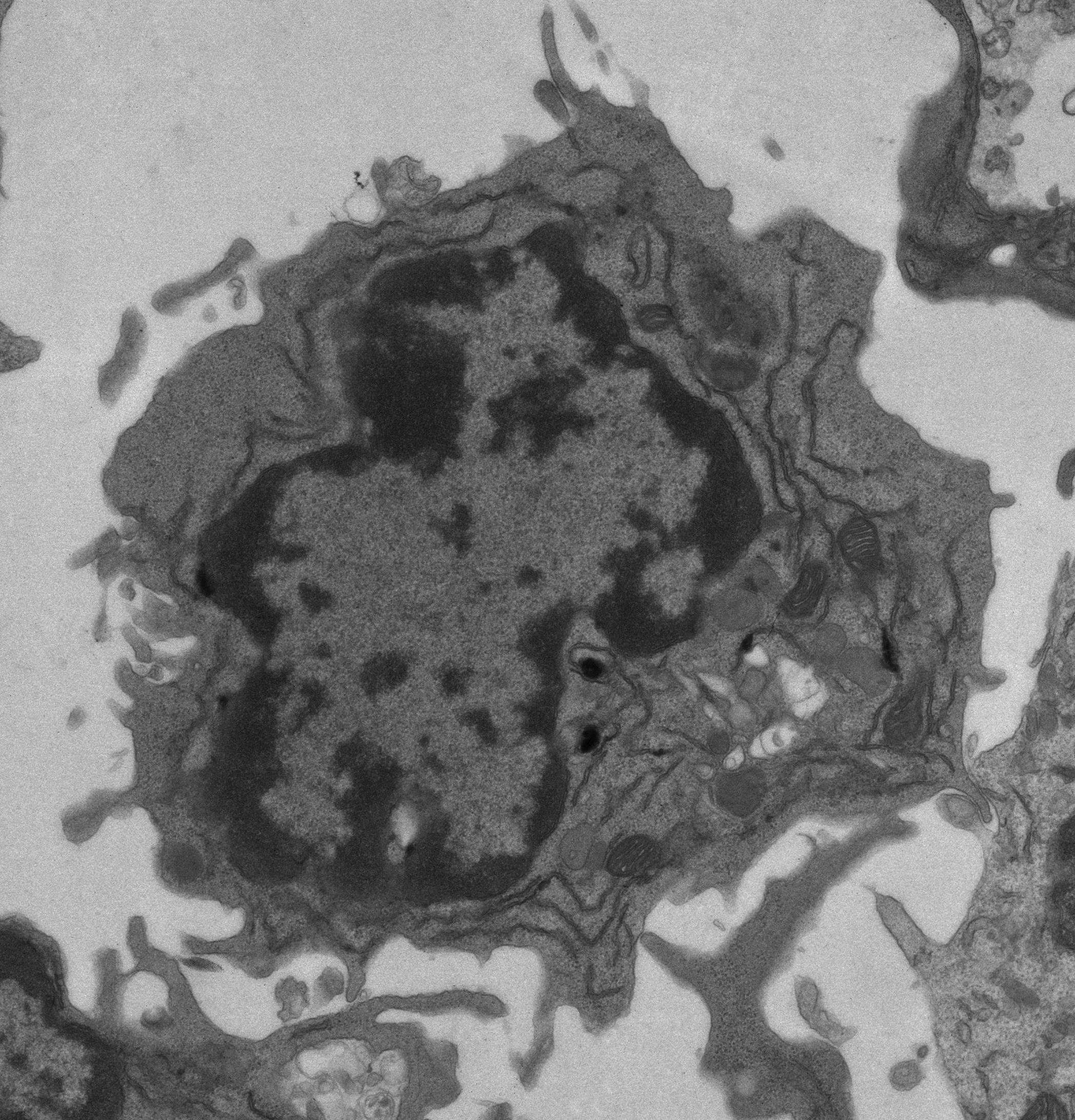
TEM picture showing ER morphology in a CD8α dendritic cell