VIB Center for Inflammation Research Logo

Molecular Immunology and Inflammation Team

Elewaut Dirk

Elewaut Dirk

Group Leader VIB

Mechanisms of inflammation and associated tissue damage in musculoskeletal disease

Our unit studies the mechanisms of inflammation and associated tissue damage (cartilage/bone) in musculoskeletal diseases, particularly spondyloarthritis (SpA), osteoarthritis and rheumatoid arthritis using a translational research approach.

Specifically gut inflammation is investigated as a driver of joint inflammation in SpA: about 50% of patients with SpA have subclinical, microscopical bowel inflammation. Mesenchymal cells are crucial effector cells in the gut-joint axis in SpA. Regulatory cells by contrast, particularly invariant natural killer T (iNKT) cells, have a marked anti-inflammatory effect.

We have a longstanding interest in the biology of iNKT cells under steady state conditions and in arthritic disease. In studying how regulatory feedback mechanisms fail in arthritic disease, we have uncovered an important functional interaction between Treg cells and iNKT cells.

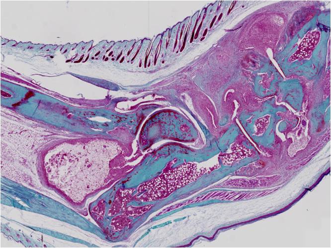
Another common pathogenic principle for musculoskeletal disorders is mechanical strain. In a mouse model of SpA characterized by enhanced TNF mRNA stability and spontaneous development of enthesitis, unloading inhibits enthesitis development entirely.

We are also looking for new therapeutical opportunities to modulate cartilage and bone metabolism. Over the past years, we have established several new modes to influence human chondrocyte metabolism. We also study osteoclast formation under conditions of chronic inflammation, a particularly high risk factor for inflammation induced bone loss.

Areas of Expertise

  • Translational research
  • Immunoregulation
  • Biomechanical strain
  • Autoimmunity
  • Musculoskelatal diseases

Technology Transfer Potential

  • Novel therapeutic targets
  • Assay development
  • Mouse disease models

Selected publications

  • Gracey, E. et al. Tendon and ligament mechanical loading in the pathogenesis of inflammatory arthritis. Nat Rev Rheumatol 16, 193–207 (2020). Visit ➚
  • Cambre, I. et al. Running promotes chronicity of arthritis by local modulation of complement activators and impairing T regulatory feedback loops. Ann Rheum Dis 78, 787-795 (2019). Visit ➚
  • Venken, K. et al. RORgammat inhibition selectively targets IL-17 producing iNKT and gammadelta-T cells enriched in Spondyloarthritis patients. Nat Commun 10, 9 (2019). Visit ➚
  • Gilis, E. et al. Deletion of Mucosa‐Associated Lymphoid Tissue Lymphoma Translocation Protein 1 in Mouse T Cells Protects Against Development of Autoimmune Arthritis but Leads to Spontaneous Osteoporosis. Arthritis Rheumatol 71, 2005-2015 (2019). Visit ➚
  • Cambre, I. et al. Mechanical strain determines the site-specific localization of inflammation and tissue damage in arthritis. Nat Commun 9, 4613 (2018). Visit ➚

Bibliography


Molecular Immunology and Inflammation Team
Histology of an ankle joint

External links

  • VIB Grand Challenges Program - Preventing arthritis relapse Visit ➚